

川崎エリアで「ジルコニアクラウンにしたいけれど、どこで相談すればいいのか分からない」そんなお悩みはありませんか。
ジルコニアは、白くて強い素材として知られていますが、どの歯に、どのように使うかによって、仕上がりや満足度は大きく変わります。
当院では、「白くすること」だけを目的にせず、見た目・強度・将来の変化まで考えたジルコニア治療を行っています。
実際の症例をもとにご紹介します。
川崎周辺で、当院にご相談いただく中で多いのが、次のようなお悩みです。
⚫︎ 保険の前装冠では色味が合わなかった
⚫︎ CAD/CAM冠は白いが、
欠けたり外れたりした
⚫︎ セラミックはきれいだったが、
数年後に割れた
⚫︎ 歯ぐきとの境目が黒く見えてきた
これらは、素材そのものではなく、設計・部位の選択・噛み合わせへの配慮が十分でなかったことが原因になるケースも少なくありません。
ジルコニアは、
を兼ね備えた素材です。
当院では、前歯から奥歯まで、それぞれの役割に合わせてジルコニアクラウンを設計しています。
当院でジルコニアクラウンを入れた患者様からは、仕上がり・見た目・安心感の面で、多くのご満足の声をいただいています。ここからは、実際の症例をご紹介します。
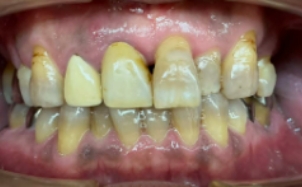
症例①【前歯】
境目の美しさは、時間が経つほど差が出ます
費用
ジルコニアポーセレン5本
14万円×5本=70万円(税込77万円)

赤い矢印が入っている5本の歯を、ジルコニアクラウンで治療しました。
中央左の、矢印が入っていない歯は、他院で数年前に入れたセラミックです。
一見すると同じような白い歯ですが、歯と歯ぐきの境目(マージン)を見ると違いが分かります。
ジルコニアクラウンは境目が自然で、他院のセラミックは、時間の経過とともに黒っぽく見えています。
当院では、装着直後だけでなく、数年後にどう見えるかを重視して設計しています。
▶ 前歯のジルコニアが気になる方へ
前歯のジルコニアは、歯ぐき・色調・形のバランスがとても重要です。
前歯のジルコニアについて相談する
症例②【小臼歯】
銀歯からの入れ替えで、自然な口元へ
費用
フルジルコニアクラウン1本
12万円×1本=12万円(税込132,000円)

Beforeでは、保険の銀歯が入っていました。
金属色が気になり、ジルコニアクラウンへ入れ替えています。
白くするだけでなく、周囲の歯の色・形との調和を意識して仕上げました。
患者様からは、「本物の歯より本物っぽい」というお声をいただいています。
ジルコニアクラウン2種類の違いについて解説

①ジルコニアポーセレンクラウン
硬いジルコニアのフレームの上に審美性に優れたポーセレンを焼き付けてあります。

②フルジルコニアクラウン
硬いジルコニアだけで作られていて、強度に優れます。色調調整で表面コーティング。
▶ 銀歯を白くしたいとお考えの方へ
小臼歯は、「白さ」より「なじみ」が満足度を左右します。
銀歯のジルコニア入れ替えを相談する
症例③【奥歯(6番)】
強度が必要な歯でも、見た目を妥協しません
費用
フルジルコニアクラウン1本
12万円×1本=12万円(税込132,000円)

こちらは下顎の大臼歯6番です。
6番は噛み合わせの中心となり、最も力がかかる歯です。
ジルコニアクラウンは強度に優れているため、奥歯でも安心して使用できます。
当院では、噛み合わせや力のかかり方を考慮した設計を行い、強さと自然な見た目の両立を目指しています。

Q1. なぜジルコニアなのに、仕上がりに差が出るのですか?
ジルコニア自体は優れた素材ですが、どの歯に、どのような設計で使うかによって結果が変わります。
当院では、歯ぐきとの境目、被せ物の厚み、噛み合わせを含めて部位ごとに設計を行っています。
Q2. 他院で入れたセラミックやジルコニアをやり直すことはありますか?
あります。
川崎周辺からも、境目の変色や不自然さを理由にご相談いただくことがあります。
当院では、なぜ今の状態になっているのかを説明したうえで、必要な場合のみ治療をご提案します。
Q3. 奥歯でもジルコニアにする意味はありますか?
あります。
奥歯は噛む力が強いため、素材だけでなく設計の精度が重要です。
症例③のように、強度と見た目の両立を意識しています。
Q4. 初診相談に行ったら、その場で治療を決めないといけませんか?
いいえ。
当院の初診相談は、現状を把握し、選択肢を整理する時間です。
という方も多く、その場で決断する必要はありません。

ジルコニアクラウンについて、「自分の歯の場合はどうなるのか」「本当に必要なのか」分からないまま決める必要はありません。
当院では、治療を勧める前に、状態や選択肢を丁寧にご説明することを大切にしています。
という方も、安心してご相談ください。
初診相談のご予約はこちら※初診相談について
「聞いてから考えたい方」のための初診相談です。



佐藤歯科
【所在地】
神奈川県川崎市川崎区
駅前本町1-2
JR川崎駅東口前・アゼリア
26番出口
セブンイレブン隣のビル6F